Pinhole Surgical Technique - HARRISONBURG, VA
A Minimally Invasive Alternative Treatment for Receding Gums
Pinhole Surgical Technique (PST)
What is it?
PST™ is a noninvasive type of gum surgery which does not require any incisions or sutures. Instead, a small instrument is used to make a tiny pinhole sized entry point in the tissue. Then a special instrument is inserted and used to loosen the tissue so that it can be pulled over the exposed tooth. Since no incisions are being made, side effects such as pain, swelling, and bleeding are kept to a minimum. Additionally, patients will notice an instant improvement in the appearance of their smile.
- Pinhole Treatment in Harrisonburg, VA - Dr. Steven Saunders
How does it work?
The first step in PST™ is to clean the teeth in the area being treated. Then, our doctors will administer a local anesthesia to numb the area. Using a small instrument, a pinhole sized entry point is made in the gums.
Once the area has been fully prepared to undergo gum surgery, Our doctors will insert a specialized instrument into the tiny entry point that was made. Using this instrument, the tissue is slowly loosened and moved into the correct position. Finally, a different instrument is used to insert collagen strips through the entry point and into the gum tissue. This will help to keep the tissue in place while the area heals. The entire gum surgery should take no longer than one hour and can be applied to several teeth at once.
What are the benefits?
PST™ gives patients several benefits that no other gum surgery can. These include:
- No Incisions – Since this is not a tissue graft, there is no need to cut or remove any part of the gums.
- No Sutures – Tissue is held in place with collagen strips, rather than sutures.
- Minimal Pain – Patients will experience only minimal pain, swelling, or bleeding during and after the gum surgery.
- Instant Results – PST™ produces an instantly noticeable cosmetic improvement. The tiny entry point is barely apparent and should disappear the next day.
PST™ is a new, innovative way for us to treat gum recession. Patients suffering from receding gums in Harrisonburg, VA can contact Shenandoah Valley Implant Institute to learn more about PST™.
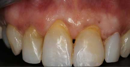
Before and After PST
Pinhole Surgical Technique PST™ is an incision-free procedure that involves making a very small hole and special instruments to loosen the gum tissue and move it over the areas with gum recession. Click on a thumbnail to view before and after photos of PST.

- Before and After PST® Surgery

- Immediately After PST Surgery and Day After PST SUrgery
